高精度放射線治療装置ノバリス
当院では、開院以来治療を行ってきたガンマナイフに加えまして、新たな定位放射線治療装置であるノバリスの最新機種「ノバリスSTx」が日本第1号機として平成26年4月から当院にて稼働しています。
ノバリスは定位放射線照射専用に開発されたリニアック照射装置です。多方向から照射される放射線をビームごとに強度を変化させて照射する強度変調照射(IMRT)などの多様な治療計画を可能とするソフトウェアと、精度の高い照射技術、赤外線とX線の監視システムによる体動追跡、微修正機能などのハードウェアが最適に融合した世界最高の装置と言えます。この優れた技術によって脳腫瘍、鼻咽頭部癌などの頭頸部病変のみならず、肺癌、肝臓癌、前立腺癌、脊椎腫瘍などの体幹部病変にも優れた治療効果が実証されています。
頭蓋内病変に関しましては、患者さんの頭部を固定する際のヘッドピンは不要で、マスクによる非侵襲的な固定で照射が可能です。治療適応としては腫瘍体積の大きな病変(転移性脳腫瘍や髄膜腫、下垂体腺腫、頭蓋咽頭腫などの良性腫瘍)や神経膠腫のようなびまん性に浸潤する腫瘍などが対象となります。ノバリスによりこれらの病変に対して複数回での分割照射が可能となり、高率な腫瘍制御効果が期待できます。従来から行っているガンマナイフ治療に加えノバリスでの照射を開始することにより数ミリ大の微小病変から3センチを超えるような比較的大きな病変までの放射線治療が可能となり、開頭手術と同様の手術効果が期待され、かつ副作用や体の負担が極めて少ない最先端の治療を提供できるものと考えております。
当科では転移性脳腫瘍をはじめとするあらゆる脳腫瘍に対して、手術、化学療法、ガンマナイフやノバリスによる定位放射線定量やIMRT、全脳照射等を駆使した集学的治療が可能です。

ノバリスの最新機種「TrueBeam™ STx」です.平成26年4月から当院にて稼働しています。日本で最初の導入です。ピンによるフレームの観血的固定が不要であり、比較的大きな病変や視神経近傍腫瘍に対する分割照射に威力を発揮します。

40代の女性の乳癌からの脳転移です。以前に放射線治療を受けているのですが、再発してしまいました(左写真赤矢印)。
再照射は放射線障害のリスクが高くなるため、可能な限り分割照射をすることが望ましいと当科では考えています。このためノバリスによる分割再照射を行い、腫瘍はMRI画像上ほぼわからなくなりました(中央の写真)。右はノバリスによる分割照射における線量分布を示しています。

乳がんからの視神経近傍への転移(上段の赤矢印)の例です。視神経は放射線に弱いため、治療の際には十分に注意する必要があります。視神経の耐容線量(どの程度の照射に耐えられるか)と乳がんの放射線感受性を考慮した上で、慎重に35Gy/10分割の線量で照射しました。下段は治療から8か月後のMRI検査結果ですが、腫瘍はほぼ消失しています。幸い視機能の悪化も生じませんでした。一般論として、視神経近傍病変への放射線治療には慎重な姿勢が必要です。

肺癌からの脳転移です(左写真赤矢印)。運動野と呼ばれる重要な部位への転移であったため、ノバリスによる10分割照射を行いました。右写真は4か月後のMRI画像ですが、腫瘍明らかな縮小が確認できます(白矢印)。

肺大細胞神経内分泌癌からの大きな脳転移です(左写真赤矢印)。腫瘍サイズが大きいのでノバリスによる10分割照射を行いました(42Gy/10回)。右写真は2。5年後のMRI画像ですが、腫瘍はほとんどわからないくらいまで縮小しており、かつ放射線障害は生じていません(右写真白矢印)。

肺癌からの小脳転移で腫瘍は2つあり(左写真の赤矢印と白矢印)、赤矢印の方は大きな転移です。ノバリスによる10分割照射を行いました。右写真は9か月後のMRI画像ですが、腫瘍は2つともほぼ消失しています。

乳癌からの脳転移です(左写真赤矢印)。強い脳浮腫を伴っています(左写真白矢印)。ノバリスによる10分割照射を行いました。右写真は1年5か月後のMRI画像ですが、腫瘍は顕著に縮小、脳浮腫は消失しています。

60歳台男性の肺腺癌からの比較的大きな脳転移(左写真赤矢印)です。ノバリスによる10分割照射を行いました。右写真は9か月後のMRI画像ですが、腫瘍は顕著に縮小しています(右写真緑矢印)。

50歳台男性の肺腺癌からの比較的大きな脳転移(左写真赤矢印)です。右写真は半年後のMRIですが、治療した腫瘍は著明に縮小しています(右写真緑矢印)。しかし新しい転移が生じており(右写真白矢印)、これはガンマナイフで治療しました。このように当院ではガンマナイフやノバリスを駆使して、一回照射や分割照射を適宜選択して患者さんにとって最善の治療を選択できます。

肺がんからの転移性脳腫瘍(上段左写真の赤矢印)です.腫瘍はやや大きく体積は16.8ccありました。ノバリスによるピンポイント分割照射を行いました。35Gy/5分割の線量で照射しています。上段中央と右の写真はこの患者さんの10か月後のMRI検査結果です。ノバリスによる分割照射を行った腫瘍はとても小さくなり痕跡程度となっています(上段中央写真の赤矢印)。一方、以前にはなかった新しい小さな脳転移がみられました(上段右写真の緑矢印)。このあらたな脳転移はまだ小さかったので、ガンマナイフにより治療を行いました。
下段の2つの画像は最初のノバリス治療時の放射線の線量分布を示しています。本例ではHybridArc(ハイブリッドアーク)と呼ばれるIMRTの技術を取り入れた照射を行っており、ピンポイントの治療になっていることがわかります。

食道がんからの転移性脳腫瘍(左写真の赤矢印)です。腫瘍はやや大きくて体積は19.5ccありました。ノバリスによるピンポイント分割照射を行いました。病変の場所が運動中枢に近かったため慎重に43Gy/10分割の線量で照射しています。中央は照射終了時のMRI検査結果ですが、すでに腫瘍の縮小効果が明らかです(中央写真の赤矢印)。右の写真はこの患者さんの6か月後のMRI検査結果ですが、腫瘍はとても小さくなり痕跡程度となっています(右写真の赤矢印)。

70代男性の胃がんからの多発脳転移です。上段は治療前のMRI画像で小脳に2ヶ所の腫瘍を認めます(上段の赤および緑矢印)。上段の赤矢印はともに同じ腫瘍を示しています。腫瘍が大きいためノバリスによる10分割照射を行いました。下段は4ヵ月後のMRI検査の結果です。ノバリスにより放射線治療を行った上記2つの病変は消失ないしは著明に縮小(下段赤矢印)しています。上記2病変とは別の新たな小さな転移巣ができてしまったため、これらはガンマナイフによる治療を行いました。このように当院では腫瘍の部位やサイズ等によりノバリスとガンマナイフを使い分け、もっとも適切な治療法を選択しています。

乳がん多発脳転移の患者さんです。視交叉とよばれる部位(上段左写真赤矢印)と松果体と呼ばれる部位(上段右写真赤矢印)に腫瘍があります。視神経は放射線に弱いので慎重に35Gy/10回で、松果体部は43Gy/10回での放射線治療を行いました。いずれもノバリスによる治療です。下段は1年後のMRI結果です。腫瘍はほとんどわからないまでに縮小・消失しました。幸い後遺症も生じていません。

直腸がんからの脳転移です。左は入院時のMRI画像で脳のほぼ中心に大きな腫瘍があります。入院時には歩くことができず、ストレッチャーにて搬送され入院となっています。食事も摂れず、点滴が必要でした。ノバリスによる分割照射42Gy/10回を行いました。照射が終わる頃には、食事をすることが可能になり、車椅子での移動ができるまで良くなりました。右写真は6ヵ月後の画像ですが、腫瘍は縮小しており、周囲の脳の腫れも改善しています。
分子標的薬の進歩により転移性脳腫瘍を有する患者さんの生命予後が延長し、これに伴い定位照射を行う際にも長期的な安全性を考慮した照射法選択が重要となってきています。当科では比較的大きな脳転移に対しては、照射に伴う長期合併症リスクを少しでも減じるためにノバリスを用いた10分割照射を行ってきました。この10分割照射の超早期治療効果として、照射終了時の腫瘍体積の変化を検証した結果を以下に記します。
当科にてノバリスによる10分割照射を行い、照射終了時にも造影MRI検査を行い腫瘍体積の変化を検証し得た17名の患者さん、計20病変を検討しました。治療前および照射終了時の腫瘍体積を測定し、合併する脳浮腫の程度については定性的に評価しました。
検討の対象は17名20病変、男性6名女性11名(平均66.5歳)で、原発は肺癌7例、乳がん5例、その他5例でした。
腫瘍体積中央値は11.1ccで42-43Gy/10分割での照射を行っています。照射法はほとんどの例でハイブリッドアークと呼ばれる方法で行いました。照射終了時の腫瘍体積中央値は8.6ccであり、終了時にすでに有意な腫瘍体積の減少が得られていました (p=0.02)。全病変において照射前に脳浮腫を伴っていましたが、18病変において脳浮腫は不変ないしは改善、2例においてのみ増悪がみられました。
検討した症例数が十分とは言えませんが、体積が10ccを超える病変に対する定位的10分割照射は安全であり、照射終了時すでに腫瘍体積の減少が得られ、脳浮腫の改善、神経症状の改善も十分に期待できるものと考えられました。ガンマナイフ等による一回照射や寡分割照射(3-5回程度)に比して、治療に要する時間が長いことは欠点ではありますが、その安全性や中長期的な合併症回避の観点からは十分に考慮して良い照射法であると考えています。

60代の男性に発生した頭蓋底部の髄膜腫です(上段の赤矢印)。手術で摘出できないということで放射線治療のために紹介受診されました。この患者さんの場合、視機能に関する神経が近くにあることから慎重な治療が必要であると考えられました。このため、一回1.8Gyで30回照射する(54Gy/30回照射)という方法で治療しました。現時点での知見では、この方法が視機能温存に関して最も安全かつ治療効果が高いと考えられます。ただ、30回に分けて照射するということは治療に6週間もかかるということを意味しており、このことがこの治療法の欠点とも言えます。しかしながら私どもは安全第一の観点からこの30回に分けての照射を多用しています。治療終了まで6週間かかり、患者さんは遠方からの方が多いので入院で照射する方が多いのですが、外来照射も可能です。下段の写真はノバリスによる治療から21か月後のMRI検査結果です。腫瘍は明らかに縮小しています。

70代の女性に発生した頭蓋底部の髄膜腫です(上段左写真の赤矢印)。手術で摘出できないということで放射線治療のために紹介受診されました。この患者さんも視機能に関する神経が近くにあることから慎重な治療が必要であると考えられました。このため、一回1.8Gyで30回照射する(54Gy/30回照射)という方法で治療しました。下段の写真はノバリスによる治療の際の線量分布を示しています。本例ではHybridArc(ハイブリッドアーク)と呼ばれるIMRTの技術を取り入れた照射を行っています。上段中央は照射5か月後、上段右の写真は治療1年後のMRI検査結果であり、腫瘍は縮小傾向にあります。治療に伴う合併症はみられませんでした。

70代の女性に発生した異形成髄膜腫です(上段左写真の赤矢印)。何度も手術を行いましたが、再発を繰り返すということで放射線治療のために紹介受診されました。この患者さんも視機能に関する神経が近くにあることから一回1.8Gyで30回照射する(54Gy/30回照射)という方法で治療しました。下段の写真はノバリスによる治療の際の線量分布を示しています。本例ではハイブリッドアークと呼ばれるIMRTの技術を取り入れた照射を行っています。上段中央は照射5か月後、上段右の写真は治療1年後のMRI検査結果であり、腫瘍は著明に縮小しています。治療に伴う合併症はみられませんでした。

70代の男性の異型性髄膜腫です(左写真の赤矢印)。他院で開頭手術がなされましたが、腫瘍が取りきれないということで、当院へ紹介されました。ノバリスSTXによる定位的分化す照射を行い、腫瘍は縮小傾向にあり、神経症状も明らかに改善傾向にあります。中央は治療から4ヵ月後、右は7ヵ月後のMRI写真です。更に長期的に経過をみる必要があります。

40代女性の頭蓋底髄膜腫です(左写真赤矢印)。複数回の手術でも摘出が困難とのことで当院へノバリス治療目的に紹介されました。1.8Gy×30回で計54Gyという照射を行いました。右は照射時の線量分布を示しています。このような頭蓋底の髄膜腫は視神経や脳幹等の非常に重要な神経組織に近接していることがほとんどです。
このため、このような例では、本例を含め当科ではIMRT(強度変調放射線治療)と呼ばれる最新の技術を用いた照射を行うことにより、可能な限り副作用のリスクを少なくするよう努めています。

60歳代の男性です。両側聴神経腫瘍(神経線維腫症II)で、20年前に片側の聴神経腫瘍(青矢印)に対してガンマナイフ治療が行われているのですが、対側に聴神経腫瘍(赤矢印)が確認されました。青矢印の腫瘍はガンマナイフ治療後で腫瘍の増大は抑え込まれていますが、聴力はほとんど残っていません。赤矢印で示した腫瘍側の聴力は7.5dBで腫瘍を抑え込むこともさることながら、残された聴力を死守することが極めて重要です。このため、ノバリスによる多分割照射を行う方針とし46Gy/23回の分割照射としました。これでも聴力温存が保証されるわけではありませんが、現時点での医療においては最善の方法と考えています。
右は治療から2年後のMRIですが、腫瘍は明らかに縮小していて、聴力の悪化は来していません。しかしながら、これは5年・10年あるいはそれ以上の長期的に検証すべき問題であることを私たちは十分に認識しており、今後も綿密なフォローアップを行っていきます。
頭蓋咽頭腫に対する当科の定位放射線治療
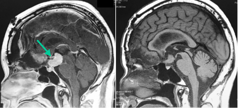
頭蓋咽頭腫は脳の下垂体(ホルモンの中枢)の茎の部分に発生する,良性ですが治療が難しい脳腫瘍です。小児から成人まで幅広い年齢層で発生し特に小児期と中年期にピークがあります。視力障害,肥満,成長障害,ホルモン異常などの症状を引き起こし,多くは嚢胞(袋状の部分)と腫瘍本体(充実部),石灰化を伴い,手術と放射線治療が中心となりますが,完全摘出が難しく再発リスクもあります。
放射線治療を行うにあたっては,視神経への影響を最小限にすることが重要です。この観点から,当科では頭蓋咽頭腫に対しては,1回の線量を1.8Gyと少なくして,その代わりに30回に分けて照射(多分割照射)することにより腫瘍に対する十分な総線量を確保する方針をとり,良好な治療成績を得ています。この方法は視神経障害リスクを極めて少なくできますが,治療期間が6週間と長くなることが欠点です。治療は入院ではなく通院で可能で,一回の治療の所要時間は受付から会計までいれても各回1時間以内です。

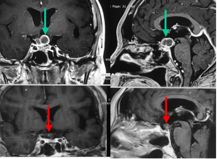
60代女性で,視力低下で発症し,他院での開頭腫瘍摘出術後の残存腫瘍(左写真緑矢印)に対する照目的に当科を紹介受診した患者さんです。Novalis STxによる定位的多分割照射54Gy/30回を行いました。右写真は照射から4年後のMRI画像ですが,腫瘍の明らかな縮小がみられます。照射前は両側視力低下(0.3, 0.4)と両耳側半盲がみられましたが,4年後は両側視力(0.8, 0.8)で両耳側半盲も改善しました。

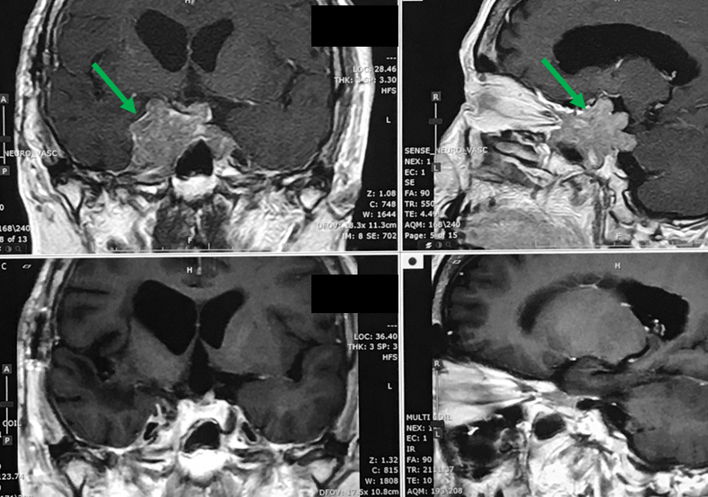
60代女性で,視力低下で発症し,他院での開頭腫瘍摘出術後の残存腫瘍(上段緑矢印)に対する照射目的に当科を紹介受診した患者さんです。本患者さんもNovalis STxによる定位的多分割照射54Gy/30回を行いました。下段は照射から7年後のMRI画像ですが,腫瘍の明らかな縮小がみられます。放射線治療後の視機能悪化は生じていません。
このように頭蓋咽頭腫に対する多分割照射は安全性の高い非常に有効な治療ですが,腫瘍が嚢胞性の場合,6週間の照射期間中に増大してしまい,照射野からはみ出してしまうことがあり,注意が必要です。このため,嚢胞性腫瘍に対してはあえて5回程度の分割回数での照射を行うこともあり,患者さんごとに慎重に判断しています。

60代女性で,視力低下で発症した下垂体腺腫(現在ではPitNETといいます)。他院での2回の摘出術後の残存腫瘍(上段緑矢印)に対する放射線治療目的に当科を紹介受診した患者さんです。Novalis STxによる定位的多分割照射54Gy/30回を行いました。下段は照射から7年後のMRI画像ですが,腫瘍の明らかな縮小がみられます。照射に伴う視機能障害は生じていません。
高度放射線治療装置の一つであるノバリスは、ガンマナイフでは治療が困難な大きな病変や、視神経や脳幹部を圧排するような頭蓋底病変に対して、大きな威力を発揮します。また、膠芽腫等の悪性神経膠腫に対する後療法としての放射線治療においても従来の照射法に比して副作用が少ないと考えられるIMRTによる治療を行っています。
-
診療科・部門のご案内
-
診療科
- 総合診療部(休止中)
- 糖尿病内科・内分泌内科・代謝内科
- 血液内科
- 腎臓内科
- リウマチ科・膠原病内科 (リウマチ・膠原病センター)
- 腫瘍内科
- 緩和支持治療科
- 心療内科・精神科
- 脳神経内科
- 呼吸器内科
- 呼吸器外科
- 消化器内科
- 循環器内科
- 小児科・新生児内科・小児外科
- 外科・消化器外科
- 乳腺外科
- 整形外科
- 脊椎脊髄外科
- 手・末梢神経外科
- 人工関節外科
- 形成外科
- 脳神経外科
- 脳神経血管内治療科
- 心臓血管外科
- 皮膚科
- 産科・分娩部
- 婦人科
- 女性ヘルスケア部
- 眼科
- 耳鼻咽喉科・頭頸部外科
- リハビリテーション科
- 放射線診断科・放射線IVR科・放射線治療科
- 麻酔科
- 泌尿器科
- 救急科・救急災害医療部
- 歯科口腔外科・口腔内科
-
部門
-
センター


