手術
手術
週2回、火木が定時の手術日です。手術件数が多いため、1日に2−3件の手術を行います。急患手術は随時可能です。手術室には脳外科手術に必要な器具(手術用顕微鏡、ドップラー血流計、超音波診断装置、神経刺激装置、超音波吸引器(CUSA、レーザー(LASER)など)はそろっています。必要に応じてナビゲーションシステムも使用しています。
当科では、前述したように脳腫瘍に対する開頭手術が多いことが特徴のひとつです。その多くは、髄膜腫、聴神経腫瘍、下垂体腺腫、神経膠腫、転移性脳腫瘍等が占めています。良性腫瘍に対しては原則として手術による全摘出を目指し、これが困難あるいは危険な場合のみ、ガンマナイフ等の放射線治療の併用を考慮します。悪性腫瘍の場合には、手術のみによる治療は困難であり、放射線治療や薬物療法を併用します。
脳出血やクモ膜下出血等の脳血管障害や頭部外傷は緊急性を有することがほとんどであるため、随時緊急手術を行っています。言うまでもなく、夜間や休日にも対応が可能です。
症例数
入院症例数(病床数42)
| 年度 | 2013 | 2014 | 2016 | 2017 | 2018 | 2021 | 2025 |
|---|---|---|---|---|---|---|---|
| 頭部外傷 | 133 | 151 | 140 | 133 | 139 | 77 | 166 |
| 脳血管障害 | 155 | 165 | 146 | 191 | 207 | 204 | 208 |
| 脳腫瘍 | 603 | 627 | 684 | 746 | 760 | 691 | 556 |
| 脊椎脊髄疾患 | 0 | 0 | 0 | 0 | 0 | 5 | 0 |
| 先天奇形 | 0 | 0 | 0 | 0 | 0 | 0 |
2 |
| 末梢神経 | 0 | 0 | 0 | 0 | 0 | 0 |
0 |
| その他 | 73 | 67 | 78 | 68 | 89 | 76 | 72 |
| 総計 | 964 | 1010 | 1048 | 1138 | 1195 | 1053 | 1004 |
手術件数
| 年度 | 2013 | 2014 | 2015 | 2016 | 2017 | 2018 | 2019 | 2021 | 2025 |
|---|---|---|---|---|---|---|---|---|---|
| 頭部外傷 | 73 | 81 | 62 | 62 | 70 | 80 | 82 | 37 | 43 |
| 脳挫傷、急性硬膜下血腫除去術 | 5 | 5 | 2 | 3 | 0 | 6 | 6 | 5 | 3 |
| 急性硬膜外血腫除去術 | 5 | 2 | 2 | 3 | 0 | 4 | 3 | 4 | 2 |
| 慢性硬膜下血腫除去術 | 51 | 52 | 47 | 44 | 61 | 58 | 60 | 22 | 32 |
| 頭蓋形成術 | 11 | 22 | 10 | 12 | 9 | 12 | 13 | 6 | 6 |
| その他 | 1 | 1 | 1 | 0 | 0 | 0 | 0 | 0 | 0 |
| 脳血管障害 | 49 | 61 | 42 | 43 | 51 | 48 | 46 | 25 |
18 |
| 脳動脈瘤クリッピング術 | 22 | 32 | 29 | 29 | 23 | 17 |
15 |
5 |
12 |
| 脳動静脈奇形摘出術 | 2 | 6 | 3 | 2 | 7 | 6 | 3 | 3 | 1 |
| 脳内血腫除去術 | 8 | 7 | 3 | 5 | 13 | 14 | 10 | 13 | 1 |
| 頭蓋内外血管吻合術 | 0 | 4 | 0 | 0 | 0 | 4 | 14 | 0 | 0 |
| 血管内膜剥離 | 14 | 12 | 5 | 6 | 4 | 5 | 3 | 2 | 2 |
| EDAS・EMS | 0 | 0 | 0 | 0 | 0 | 1 | 1 | 0 | 0 |
| その他 | 0 | 4 | 2 | 1 | 4 | 1 | 0 | 2 | 2 |
| 脳腫瘍 | 71 | 50 | 61 | 67 | 44 | 45 | 49 | 64 | 39 |
| 原発性脳腫瘍摘出術 | 54 | 33 | 49 | 54 | 37 | 33 | 46 | 49 | 30 |
| 転移性脳腫瘍摘出術 | 9 | 11 | 10 | 12 | 5 | 4 | 3 | 11 | 1 |
| その他 | 8 | 6 | 2 | 1 | 2 | 8 | 0 | 4 | 8 |
| 水頭症 | 32 | 32 | 43 | 44 | 25 | 33 | 25 | 11 | 24 |
| シャント手術 | 20 | 19 | 23 | 22 | 12 | 15 | 23 | 6 | 15 |
| 先天奇形 | 0 | 0 | 0 | 0 | 0 | 0 | 0 | 0 | 2 |
| 神経血管減圧 | 2 | 2 | 1 | 2 | 1 | 6 | 4 | 9 | 10 |
| その他 | 11 | 18 | 5 | 11 | 22 | 14 | 48 | 11 | 26 |
| 手術総計 | 239 | 245 | 214 | 229 | 213 | 226 | 260 | 209 | 236 |
| 血管内手術 | 6 | 11 | 9 | 19 | 15 | 25 | 42 | 46 | 83 |
| ガンマナイフ | 544 | 522 | 494 | 540 | 595 | 586 | 560 | 609 |
624 (ガンマナイフ+ノバリス |
| 総計 | 789 | 778 | 717 | 788 | 823 | 837 | 862 | 818 | 847 |
痴呆症状にて発見された前頭葉の髄膜腫の症例です。術前(左の写真)では腫瘍(矢印)により脳は強く圧迫されていますが、術後(右の写真)は改善しています。痴呆症状もなくなり、全く普通の生活をされています。
脳神経外科では眼窩内腫瘍も扱います。この患者さんは、矢印で示すように眼窩内外側に大きな腫瘍が存在します。本例では開頭術により腫瘍を全摘出しました。術前(左側の写真)は眼球突出がみられましたが、術後(右側の写真)は何ら症状なく、外来にて経過観察中です。

比較的大きな小脳血管芽腫(けっかんがしゅ)とよばれる腫瘍です(左のMRI写真の赤矢印)。他院で手術が行われましたが、出血が多く摘出できずに終わり、当科を紹介受診されました。脳血管撮影検査(中央)では腫瘍が黒く染まっており(青矢印)、血流が非常に多いことがわかります。当科であらためて開頭術を行い、腫瘍を全摘出しました(右のMRI写真)。後遺症なく退院されています。

めまい、ふらつきといった小脳症状で発症した小脳血管芽腫です(上断赤矢印)。後頭葉を圧排して小脳テントとよばれる部位を切開して腫瘍に到達し、全摘出しました(中段の写真)。中段写真の緑の矢印は、切開した小脳テント部を示しています。下段は術中所見を示しています。術後は後遺症なく退院できました。この腫瘍は血行に富み、他の良性腫瘍と異なり内減圧という手法がとれないので、一般に摘出難度が高い腫瘍と言えます。

小脳の血管芽腫です(上段左写真赤矢印)。この腫瘍は血流が非常に多く出血しやすいため、術前に塞栓術(腫瘍へ行く血管を詰めて血流を下げる手技)を行った後、開頭腫瘍摘出術を行いました。小脳の下面から入って後遺症なく腫瘍を全摘出することができました(上段右写真)。下段は術中所見です。腫瘍は赤く、周囲脳組織との境界は明瞭です。腫瘍に流入する多くの血管を丁寧に凝固・切断して脳と剥離を進めて摘出していきます。

小脳に生じた血管芽腫(hemangioblastoma)です(左写真赤矢印)。この腫瘍も上記と同様、小脳テントと呼ばれる硬膜を切開して小脳上面からアプローチする方法(occipital transtentorial approach)により腫瘍を全摘出しました(右写真)。

小脳の血管芽腫とよばれる良性腫瘍です(上段写真の赤矢印)。非常に出血しやすく、手術の際には注意が必要です。後頭部に開頭し、後頭葉を圧排して小脳テントと呼ばれる硬膜を切開して小脳上面からアプローチする方法(occipital transtentorial approachと言われます)で、腫瘍を無事に全摘出しました.術後のMRIでは腫瘍摘出腔が見えています(下段写真青矢印)。

第4脳室という部分に生じた脈絡叢乳頭腫(みゃくらくそうにゅうとうしゅ)と呼ばれる良性腫瘍です(左写真赤矢印)。後頭部から入り、小脳を傷つけることなく、持ち上げるようにして腫瘍を全摘出(右写真)しています。もちろん後遺症はなく、現在は年に一回のMRIでのフォローアップとなっています。

顔面の感覚をつかさどっている三叉神経(さんさしんけい)に発生した腫瘍(三叉神経鞘腫:さんさしんけいしょうしゅ)の患者さんです。手術前のMRI画像でみえている腫瘍(左写真の赤矢印)は、頭蓋底外科と呼ばれる手法を用いてすべて摘出されています(右側の写真)。

30代男性の三叉神経鞘腫で,側頭部から後頭蓋窩まで腫瘍が連続しています。上段は術前のMRIでテント上に存在するメッケル腔から海綿静脈洞部にかけての腫瘍(緑矢印)とテント下の後頭蓋窩に存在する腫瘍(赤矢印)が確認できます。側頭部を開頭し,海綿静脈洞外側壁から入り腫瘍を摘出するとともに,側頭葉を挙上して“Kawaseの三角”と呼ばれる部位の骨削除を行い後頭蓋窩に入り,腫瘍を全摘出しました(下段)。術前からみられた左顔面の知覚鈍麻(三叉神経の症状)の改善は得られませんでしたが,その他の後遺症は生じませんでした。

側頭葉とよばれる部位に生じた肺癌からの脳転移の患者さんです。手術前のMRI検査では大きな腫瘍がみられ(左写真の赤矢印)、その周囲の脳が少し黒っぽくなり脳浮腫を伴っているのがわかります。手術後のMRI(右側の写真)では腫瘍はすべて摘出され、脳浮腫も消退しているのがわかります。

乳がんからの転移性脳腫瘍の患者さんです。後頭葉に腫瘍がみられます(左写真赤矢印)。腫瘍が大きかったため、手術摘出を行いました。手術前には視野障害がありましたが、手術後は改善しました。手術後は抗がん剤治療を行い、手術2年後のMRI検査(右写真)でも再発は来たしていません。

乳がんからの頭蓋底転移です(左写真赤矢印)。画像所見からは他の良性腫瘍との鑑別も困難であったため、手術により病理診断を確定した後、全摘出しました。嚥下に関する神経を圧排しており、手術には長時間を要しました。手術後は嚥下障害が1ヶ月ほどみられましたが、最終的には回復しました。術後に放射線治療も行っています。

海綿静脈洞部とよばれる場所に生じた比較的まれなcavernoma(カベルノーマ)と呼ばれる腫瘍です。眼球運動障害をきっかけにみつかりました。治療前のMRI検査では腫瘍が外側に張り出すように成長し、脳を圧迫しているのがわかります(左側写真の赤矢印)。この腫瘍はガンマナイフがとても良く効くことが知られています。ガンマナイフ治療後のMRI検査では腫瘍が明らかに縮小して脳の圧迫がなくなっていることがわかります(右側写真の赤矢印)。

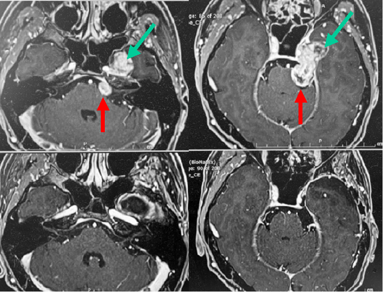
40代女性に生じた比較的小さな三叉神経鞘腫(さんさしんけいしょうしゅ)です(左写真の赤矢印)。顔面の知覚低下をきっかけに発見されました。頭蓋底外科の手技を用いて腫瘍は全て摘出しました。

30代女性にみられた複視で発症した右海綿静脈洞部の腫瘍です(上段左写真)。三叉神経鞘腫が疑われたのですが、顔面知覚障害がないため組織診断をつけるために開頭腫瘍摘出術を行いました。前頭側頭開頭を行い硬膜外で2層の硬膜の間から海綿静脈洞外側壁に至り(下段左写真)、 三叉神経の間から腫瘍に到達しました(下段中央写真)。腫瘍は肉眼的に全摘出しました。摘出後は海綿静脈洞内の内頚動脈も確認できています(下段右写真)。眼球運動障害などの合併症が生じやすい部位の手術でしたが、幸い後遺症なく、複視も改善しました。

神経鞘腫と呼ばれる良性腫瘍です(左写真赤矢印)。延髄が強く圧排されていますが、手術により全摘出を行いました。右写真は手術後ですが、腫瘍は全摘出され、延髄の圧迫は解除されています(青矢印)

40代男性の、島とよばれる解剖学的部位に生じた神経膠腫(グレード3)です。手術の際にナビゲーションシステムを用い、MEPという運動神経のモニタリングを行うことにより90%以上の腫瘍摘出を行い、その後に放射線治療とテモダール投与を行いました。下段は術後6か月の画像ですが、十分な腫瘍制御が得られています。
このような深部の神経膠腫の手術は容易ではありませんが、最新の手術支援システムを用いることにより、かなりの腫瘍摘出が安全に可能となっています。
悪性神経膠腫(悪性グリオーマ)に対する手術について
当科では、可能な限り術後の後遺症を残さないように、かつ、できるだけ腫瘍を摘出するように様々な工夫を行っています。手術前には十分な検討により、トラクトグラフィーとよばれる運動神経などを描出できる特殊な検査を行い、術後に運動麻痺が生じるリスクを検討しています。手術中には、最新のナビゲーションシステムを用いて可能な限り腫瘍を摘出するように努めています。また、5-ALA(5-アミノレブリン酸)と呼ばれる、もともと生体内にある物質を濃縮したお薬を術前に内服していただくことで、この物質が腫瘍内に取り込まれ、プロトポルフィリンという物質に代謝され蓄積し、そこに、400nmという波長の光を照射することで、悪性腫瘍細胞のみを赤く光らせることができることを利用して、腫瘍の摘出度を上げる努力をしています。通常の手術用顕微鏡では摘出しようとしているところが正常なのか腫瘍なのか判然としないことが少なくないのですが、この手法を用いることでより良好な手術成績が期待できます。
以下に、実際の手術での画像を提示します。

膠芽腫の術中の所見です。左の写真は通常の手術用顕微鏡で観察した画像です。腫瘍がいるのかいないのか、肉眼的には判断が困難です。そこで、5-ALAを用いた蛍光診断法で確認すると赤く光って見え、腫瘍細胞がまだ残っていることがよくわかります。このようにして、可能な限り、腫瘍を摘出する努力を重ねています。

30代男性の視床と呼ばれる難しい部位に生じた膠芽腫の例です。左右の大脳半球の間から脳梁(のうりょう)と呼ばれる部位に到達し、これを切開して側脳室とよばれる所に入り、さらにその一部を切開して視床部の上方に到達して、腫瘍摘出を行いました。左の写真では、切開された脳梁と、腫瘍が確認できます。5-ALAを用いた蛍光診断法で、腫瘍は赤く光って見えます。

手術の際に運動麻痺を生じるリスクのある場合には、トラクトグラフィーと呼ばれる手法を用いて運動神経線維の走行をMRIで描出して、更にこれをナビゲーションシステムに組み込むことによって、術中に実際の操作部位と運動神経線維との位置関係をリアルタイムに把握することができ、運動神経障害を来たすリスクを減らすことができます。上の図は視床と呼ばれる部位に生じた膠芽腫の患者さんの手術の際に使用した、ナビゲーションシステムの画像です。運動神経と腫瘍との位置関係が明らかです。

膠芽腫(ごうがしゅ)の例です。左上の手術前のMRIでは、後頭葉に腫瘍が認められます。開頭術により腫瘍を摘出し、手術後のMRIではほぼ全摘出されています。手術後は標準的な放射線治療とテモダールによる抗がん剤治療を行いました。手術から1年7ヵ月後に腫瘍摘出腔の一部から再発が確認されました(赤丸で囲んだ部位)。そのため、再発が生じた2ヶ所にガンマナイフ治療を行いました。ガンマナイフ2ヵ月後には腫瘍ははっきりしなくなっており、8ヵ月後のMRIでも再発は認められません。

70代男性の膠芽腫の例です。後頭葉に白い腫瘍がみえます(左写真赤矢印)。手術と放射線治療、化学療法を行い、半年後の頭部MRI(右写真)、再発はみられません。

60代男性の膠芽腫です。手術により大部分を摘出しましたが、この後に抗がん剤治療と放射線治療が必要になります。このような深部に存在する腫瘍の手術に際しては、術中ナビゲーションシステムや、MEP(motor evoked potential)とよばれる運動機能を調べる術中モニタリングが必要です。

60代男性の膠芽腫(こうがしゅ)です(左写真の赤矢印)。腫瘍はとても大きく、脳の正中線が歪んでいるのがわかります。開頭術により、腫瘍の大部分を摘出しました(右側の写真)。 膠芽腫は悪性度が高いため、手術だけでは治療は完結しません。手術のあと、放射線治療と抗がん剤治療が必要になります。

60代男性の膠芽腫です(左写真の赤矢印)。腫瘍の周囲脳には脳浮腫が顕著です(左写真の青矢印で示した黒い部分)。手術により摘出し、その後に放射線治療と抗がん剤治療(テモダールと呼ばれる内服薬です)を行いました。これは現在の標準治療です。治療後のMRI検査(右側の写真)では明らかな再発はみられません。しかしながら、膠芽腫とよばれる腫瘍においてはその後のフォローアップにおいて再発してくる可能性は高いと言わざるを得ません。

松果体と呼ばれる部位に生じた膠芽腫(左写真の赤矢印)です。この部位に生じる膠芽腫は非常に稀です。Infratentorial supracerebellar approachと呼ばれる手法を用いた手術により、腫瘍は肉眼的に全摘出しました。その後放射線治療とテモダールによる化学療法を行い、経過良好でしたが、1年後のMRIで最初の部位からは離れた小脳に再発病変がみられます(右写真青矢印)。この病変に対してはガンマナイフ治療を行い、なんとか制御することができました。もともと腫瘍が存在していた松果体部には腫瘍再発はまったく認められません。

40代女性の脳膿瘍(のうのうよう)です。脳膿瘍とは何らかの原因で細菌や真菌が脳内に侵入し、膿がたまる袋ができてしまった状態です。頭痛や意識障害、けいれん、運動麻痺を来たして、死亡することもある恐ろしい疾患です。虫歯や副鼻腔炎、中耳炎などが原因となることがあります。治療前のMRI検査では膿がたまった袋(左側の写真の赤矢印)とともに、その周囲の脳がむくんでいる(左側の写真の青矢印)ことがわかります。手術により膿を吸い出して、その後に強力な抗生物質による治療を行い、幸いにも完治しました(右側の写真)。 脳膿瘍の場合には、脳の治療のみならず、原因となった虫歯や副鼻腔炎、中耳炎なども治療することが必要です。

出血発症した小脳の海綿状血管腫(左写真の赤矢印)です。後頭葉の下から小脳テントと呼ばれる膜を切って小脳の上面に入る方法で(Occipital transtentorial approach)、血管腫を全摘出しました。

上記の症例の術中所見です。小脳テントと呼ばれる後頭葉と小脳の間の膜を切開し、小脳の上面から病変(海綿状血管腫)に到達して摘出しています。この到達法は合併症として視野障害を来たし得ることが欠点ですが、小脳の上面に存在する病変に到達するには良い方法です。本例では術後一過性に軽度の視野障害が出現しましたが、一週間ほどで完全に治りました。

出血発症した前頭葉の海綿状血管腫(左写真の赤矢印)です。手術により、全摘出することができました(右写真)。

60代男性の生じた脳幹部海綿状血管腫です(左写真赤矢印)。来院時は歩行も困難で嚥下障害もみられました。脳幹部は一般に手術ができないと言われますが、病気の種類と部位、状況によっては手術が可能です。本例ではanterior petrosal approachと呼ばれる側頭葉の下を経由する方法で血管腫に到達し、幸い全摘出することができました(右写真)。リハビリを行った後、最終的には元気に歩いて退院されました。

脳幹部に生じた海綿状血管腫です(左写真赤矢印)。当初はできるだけ手術をしないで経過をみる方針としていましたが、断続的に出血を繰り返し、進行性に神経症状が悪化したため、手術で摘出する方針としました。Anterior petrosal approachと呼ばれる頭蓋底アプローチを用いて橋(きょう)と呼ばれる脳幹部の前外側に至り、小さな切開を加えて病変を全摘出しました。術後はリハビリを要しましたが、最終的には元気に退院されました。右写真は術後のMRIですが、病変は摘出され痕跡がみえるのみです(右写真緑矢印)。

30代女性の脳幹部海綿状血管腫です(左写真赤矢印)。出血を繰り返しており、他院で手術不可能と言われ、当院を受診されました。来院時は意識障害がみられました。本例では側頭葉の前方および下方を経由する方法で血管腫に到達し、幸い摘出することができました。術後、出血の影響で脳幹部には萎縮がみられます(右写真青矢印)。

視神経近傍の血管周皮腫(hemangiopericytoma)と呼ばれる稀な腫瘍です(上段および下段の左写真)。他院にて2度の手術を受けた後の再発例です。右の前頭側頭部からアプローチし、眼窩上縁の骨と頬骨弓と呼ばれる頬骨の一部をはずして、さらに視神経管を開放し、前床突起と呼ばれる部分を除去して手術しています(orbito-zygomatic approachと呼ばれています)。腫瘍はとても出血しやすく、困難でしたが、時間をかけて少しずつ摘出して、ほぼ全摘出することができました。腫瘍摘出後である上段右の写真では、視神経の圧排がとれており、脳幹が見えています。また、内頚動脈から視神経へ向かい血管が温存されているのがわかります。下段左写真は術前、右は術後のMRI画像です。赤矢印で示される腫瘍は全摘出されていることがわかります。

若い男性に生じたラトケ嚢胞(らとけのうほう)と呼ばれる脳下垂体部の疾患です。通常は経鼻内視鏡的に手術しますが、本患者さんでは根治性を重視して左側の前頭側頭部からアプローチしています。嚢胞の内容液は白色を呈しています(上段左および中央写真)。全摘出後には右側の動眼神経や後大脳動脈(対側P1と書いてある血管)や下垂体茎が確認できます(下段左および中央写真)。術前後のMRIでは病変が全摘出されていることがわかります(下段右写真の上下)。

10代男性の松果体部腫瘍です(左写真赤矢印)。水頭症による頭痛と眼球運動障害で発症しました。小脳テントと呼ばれる、硬膜を切開して小脳上面からアプローチする方法(occipital transtentorial approach)により腫瘍を全摘出しました(右写真)。
病理診断結果はgerminoma + yolk sac tumor + mature teratomaと呼ばれる混合性悪性腫瘍でしたので、術後の放射線治療と化学療法を行っています。 松果体部には様々な腫瘍が発生し得ます.必ずしも手術摘出が容易な部位とは言えませんが、当科では基本的には全摘出を目指します。病理診断結果に応じて、放射線治療や化学療法の必要性を検討します。

30代女性のcentral neurocytomaと呼ばれる比較的めずらしい腫瘍です。頭痛を訴えて来院しました。左は手術前のMRI画像で、わかりにくいですが赤矢印が腫瘍です。水頭症を合併しています。前頭葉を経由して腫瘍に到達して全摘出しました(右写真)。術後は後遺症なく退院できました。

30代男性に発症したcentral neurocytomaです。上段は手術前のMRI画像で、赤矢印が腫瘍です。上段の左は水平断、右は冠状断(前から向かい合うように見た画像)です。本患者さんも水頭症を合併しています.前頭葉を経由して腫瘍に到達して全摘出しました(下段写真)。術後は後遺症なく退院できました。

20代男性のcentral neurocytomaです。上段は手術前のMRI画像で、赤矢印が腫瘍です。上段の左は水平断、右は冠状断(前から向かい合うように見た画像)です。本患者さんも水頭症を合併しています。前頭葉を経由して腫瘍に到達して全摘出しました(下段写真)。術後は後遺症なく退院できました。

海綿静脈洞部と呼ばれる部位に生じた脊索腫という腫瘍です(左写真白矢印)。
頭蓋底の骨から連続的に浸潤して海綿静脈洞内に入ってきました。神経症状として外転神経麻痺による複視(ものがだぶって見える)を訴えていました。病理診断を確定するために海綿静脈洞内腫瘍の開頭腫瘍摘出術を行いました。手術にはDolencのアプローチと呼ばれる頭蓋底手術の方法を用いて海綿静脈洞外側壁に到達し、主として三叉神経の第二枝と第三枝の間のスペースを利用して海綿静脈洞内腫瘍の大部分を摘出しました(右写真)。術後にはあらたな神経症状の出現はなく、複視も改善しました。


上述の海綿静脈洞部と呼ばれる部位に生じた脊索腫という腫瘍の術中所見です。
V1は三叉神経第一枝、V2は三叉神経第二枝、V3は三叉神経第三枝を示しています。
-
診療科・部門のご案内
-
診療科
- 総合診療部(休止中)
- 糖尿病内科・内分泌内科・代謝内科
- 血液内科
- 腎臓内科
- リウマチ科・膠原病内科 (リウマチ・膠原病センター)
- 腫瘍内科
- 緩和支持治療科
- 心療内科・精神科
- 脳神経内科
- 呼吸器内科
- 呼吸器外科
- 消化器内科
- 循環器内科
- 小児科・新生児内科・小児外科
- 外科・消化器外科
- 乳腺外科
- 整形外科
- 脊椎脊髄外科
- 手・末梢神経外科
- 人工関節外科
- 形成外科
- 脳神経外科
- 脳神経血管内治療科
- 心臓血管外科
- 皮膚科
- 産科・分娩部
- 婦人科
- 女性ヘルスケア部
- 眼科
- 耳鼻咽喉科・頭頸部外科
- リハビリテーション科
- 放射線診断科・放射線IVR科・放射線治療科
- 麻酔科
- 泌尿器科
- 救急科・救急災害医療部
- 歯科口腔外科・口腔内科
-
部門
-
センター


